
Саркоцистоз — паразитарное заболевание многих видов животных (крупный рогатый скот, свиньи, овцы, козы, буйволы, лошади, верблюды, олени, тюлени и другие), а также человека, сопровождающаяся поражением мышечной ткани и внутренних органов. Также болезнь может поражать домашних и диких птиц, пресмыкающихся, рыб и насекомых.
Саркоцистоз животных распространен повсеместно. Заражение происходит алиментарно, при заглатывании ооцист вместе с кормом и водой. Основным источником заражения животных являются собаки, кошки, дикие хищники и человек.
Заражение людей происходит при употреблении в пищу сырого саркоцистозного мяса, а также не соблюдении личной гигиены при контакте с сырым пораженным мясом.
Симптомы.
При спонтанном заражении саркоцистоз имеет преимущественно хроническое (латентное) течение. Из клинических признаков отмечают истощение, бледность видимых слизистых оболочек, отёк межчелюстного пространства, экзофтальм, у коров — резкое снижение молокопродукции.
Острое и подострое течение возникает в случае экспериментального заражения. При этом наблюдается значительное повышение температуры тела, угнетение, анорексия, слабость, тахикардия, тахипное, понос, жажда, возможны аборты.
У взрослых собак и кошек саркоцистоз не имеет выраженных клинических признаков даже после многократного скармливания им сырого мяса, интенсивно инвазированного саркоцистами.
Клинические проявления и патогенез.
Инкубационный период при саркоцистозе варьируется от нескольких недель до месяцев, что зависит от интенсивности инвазии и состояния иммунной системы животного. В большинстве случаев заболевание протекает субклинически, без выраженных внешних проявлений. Однако при массивном заражении могут развиваться клинически выраженные формы болезни.
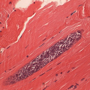
Острая форма, встречающаяся относительно редко, характеризуется лихорадкой, анемией, мышечной слабостью и отеками. Хроническое течение сопровождается прогрессирующим истощением, мышечной атрофией и нарушением координации движений. При патологоанатомическом исследовании обнаруживаются характерные беловатые цисты в мышечной ткани размером 1-10 миллиметров, гидремия мышечной ткани, а в хронических случаях - кальцификация цист и общее истощение организма.
Прижизненная диагностика саркоцистоза может осуществляться серологическими реакциями с сывороткой крови. Диагностику саркоцистоза у плотоядных проводят путем исследования фекалий. Также используют лабораторные методы исследования: микроскопию мышечных волокон, серологические реакции (РСК, РДСК, ИФА, ПЦР и другие).
При дифференциальной диагностике цисты саркоцист крупного рогатого скота, овец и свиней следует отличать от капсул с трихинеллами, цистицерков (особенно молодых), безноитий, токсоплазм, изоспор, хаммондий, гонгилонем, личинок подкожного овода, а также кальцификатов.
При посмертной диагностике исследуют компрессорными методами мышцы диафрагмы, языка, межрёберные и жевательные.
В качестве профилактики не рекомендуется содержать плотоядных животных на территории ферм, летних лагерей, в местах хранения кормов. Пораженное саркоцистами мясо нельзя скармливать собакам, кошкам и другим плотоядным в необезвреженном виде. Собак, содержащихся в хозяйстве, необходимо периодически (ежеквартально) обследовать на кишечный саркоцистоз. На фермах должны быть оборудованы санузлы.
Лечение сельскохозяйственных животных разработано слабо, так как прижизненная диагностика затруднена. Лечение собак и кошек должно быть комплексным с использованием противопаразитарных симптоматических препаратов.
Специалисты отдела вирусологии, патоморфологии и ПЦР исследований, предлагают вам новейшие и эффективные методы диагностики, в том числе и ПЦР анализ (полимеразной цепной реакции), это позволит Вам вовремя выявить заболевание и направить все силы на его лечение, а также вовремя обезопасить себя и своих близких от заражения.

